소아치과

Pediatric Dentistry

Mir Pediatric Dentistry

엄마에게는 휴식을,
아이에게는 치유를!

우리 아이 치아 건강 지키기, 목포미르치과병원에서 시작하세요.

친근한 진료와 맞춤형 치료로 아이의 두려움을 줄이고, 엄마의 걱정을 덜어드립니다.

우리 아이 치아 건강, 이제 미루지 마세요.

First Dental

우리 아이 첫 치과 나들이는 언제쯤?

첫 치아가 나오는 생후 6개월부터,

늦어도 만 1세까지는 첫 검진이 필요합니다.


충치는 빠르게 진행되므로 3개월마다 정기검진을 권장합니다.

소아 구강검진

스스로 관리가 어려운 영유아는 시기별로 영유아 구강검진을 받는 것이 중요합니다.

영유아 국가 구강검진 시기 이후 초등학교 입학 시 학생 구강검진으로 국가 구강검진 진행
  • Check-up 01

    생후 18 ~ 29개월
    국가건강검진 실시

  • Check-up 02

    생후 30 ~ 41개월
    국가건강검진 실시

  • Check-up 03

    생후 42 ~ 53개월
    국가건강검진 실시

  • Check-up 04

    생후 54 ~ 65개월
    국가건강검진 실시

충치 예방치료

충치가 생기기 전 미리 예방으로 아이들의 구강을 보다 더 깨끗하게 책임집니다.
  • 불소도포

    불소는 충치 예방과 치아 강화,


    세균 억제에 효과적입니다.

    불소는 충치를 예방해 줄 뿐만 아니라 치아를 단단하게 해주고,

    충치 유발 세균(뮤탄스균)의 성장을 억제하는 등의 효과가 있어

    충치가 잘 생기고, 칫솔질이 잘 안되는 어린이에게 발라주면

    치아 표면에 불소 막을 형성하여 내산성을 높여줄 뿐 아니라

    40∼70%의 치아우식 예방효과가 있습니다.

  • 치아 홈 메우기

    어린이 어금니 홈 메우기로


    충치를 예방할 수 있습니다.

    치아의 씹는 면에는 홈과 틈이 많아 음식물 찌꺼기와 세균이

    남기 쉽습니다. 특히 어린이는 칫솔질이 서툴러 충치 발생률이 높아,

    이런 경우 홈 메우기(실란트)는 충치 예방하는 데 효과적입니다.


    보통 만 6세경에 올라오는 첫 번째 큰 어금니, 만 12세경에 올라오는

    두 번째 큰 어금니에 해당하며, 어금니에 발생하는 충치를

    예방할 수 있습니다.

충치 치료

어린이 유치 신경 치료의 종류

  • 치수 절단술

    치아 신경의 일부만 제거해


    자연 치유를 돕는 보존적 치료입니다.

    치수 절단술은 치아 신경 전체를 제거하는 대신,

    감염된 윗부분 신경만 선택적으로 제거하고, 뿌리 쪽의 건강한 신경은 살리는 보존적 치료입니다.


    자연 치유를 돕고 치아의 생존 가능성을 높이고, 생체 친화적 재료를 사용해 염증 반응이 적은 것이 특징입니다.

  • 치수 절제술

    치아 신경을 모두 제거하는


    감염 치료입니다.

    감염이 치아 뿌리까지 진행되면 신경 전체를 제거하는 치료가 필요합니다.


    유치의 경우 시간이 지나면 뿌리가 자연스럽게 흡수되어 빠지고, 그 자리에 영구치가 올라오기 때문에

    신경 치료에 사용하는 약제도 뿌리와 함께 흡수될 수 있는 특성이 필요합니다.


    Vitapex는 흐름성이 좋아 뿌리 안쪽까지 잘 채워지고, 유치의 흡수 과정에 맞춰 자연스럽게 제거되기 때문에

    소아 신경 치료에 널리 사용되고 있습니다.

충치(신경) 치료 보철의 종류

  • GI (Glass Ionomer)

    불소 방출로 충치 예방에 좋은


    유치용 충전재입니다.

    GI는 작은 충치나 유치 치료에 사용되는 재료로,

    레진과 비슷하지만 강도는 다소 약합니다.


    접착력이 좋고 불소 방출 효과로 충치 예방에도 도움이 됩니다.

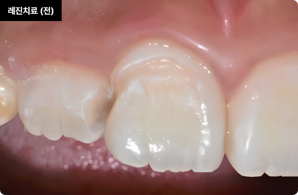
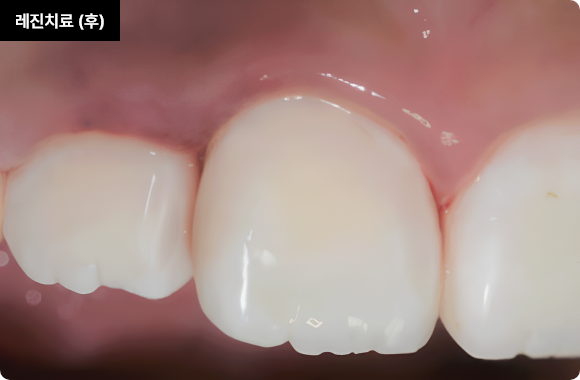
  • 레진 (Composite Resin)

    치아 색과 유사해 심미성이 뛰어난


    충치 치료 재료입니다.

    레진은 치아 색과 유사한 재료로 충치 부위를 때우는 방법입니다.


    주로 충치 치료에 사용되며, 심미성이 뛰어납니다.

  • SS(Stainless Steel) 크라운

    약해진 치아를 덮어 보호하고

    기능을 유지하는 치료입니다.

    크라운은 충치로 약해진 치아를 전체적으로 덮어 보호하는 치료입니다.


    충치 범위가 넓거나 신경 치료를 받은 유치에 주로 적용되며,

    약해진 치아를 감싸 치아의 기능과 형태를

    오래 유지할 수 있도록 도와줍니다.

  • 티타늄

    부식 걱정이 없어


    오래도록 신뢰받는 임플란트 소재입니다.

    티타늄 크라운은 심미성을 고려한 골드 색상의 유치관으로

    기존 SS 크라운에 티타늄을 코팅하여 구강 내에서 자연스럽고

    광택 있는 색감을 구현하였으며, 티타늄 코팅으로 인해 마모가 현저히

    적어 더욱 오랫동안 안정적으로 사용할 수 있습니다.

소아 의식하진정법

소아 진정 치료(의식하진정요법치료)는 전신 마취처럼 무의식 상태를 유도하지 않습니다.

아이의 불안과 공포가 심해 일반적인 치료가 어려울 때는 약물을 사용해 진정 상태를 유도합니다. 이를 통해 한 번에 여러 치아를 안전하게 치료할 수 있습니다.


진정법은 의식이 완전히 없어지는 깊은 마취와 달리, 아이가 자극에 반응할 수 있는 상태를 유지하며 스스로 호흡할 수 있어 안전하게 치료가 진행됩니다.


치료 중간에 깰 수도 있지만, 낮은 의식 상태를 유지해 불안 없이 치료받을 수 있도록 돕습니다.

목포미르치과병원
약도 문자전송서비스

전송된 약도를 확인하시고 방문해 주시면 감사하겠습니다.

약도 문자전송

목포미르치과병원
지상 주차장 운영

목포미르치과병원은 병원에 내원하시는 분들의 편의와


주차의 불편함을 최소화 하기 위해


약 30대 이상이 동시에 주차할 수 있는 지상 주차장을 운영하고 있습니다.


자가용 이용 시 참고해주시기 바랍니다.
빠른상담신청