친절하고 전문적인 설명
목포미르치과병원은 ‘설명 중심 진료’를 지향합니다.목포미르치과병원은 치료의 시작을 ‘설명’에서부터 함께합니다.
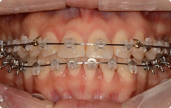
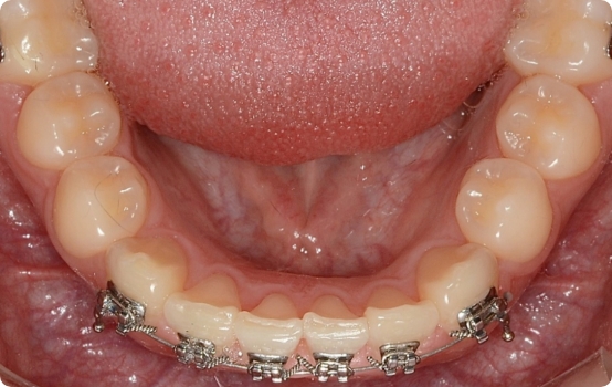
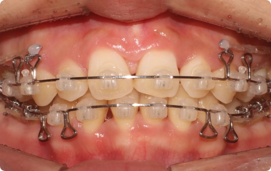
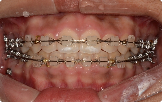
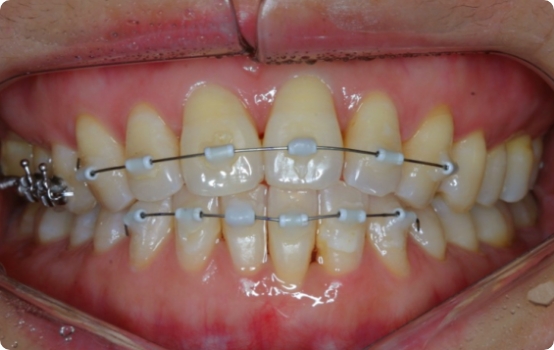
치아교정
치아 교정은 바로 이 '교합'을 바로잡는 과정입니다.
단순히 삐뚤어진 치아를 가지런히 하거나 튀어나온 입을 넣는 것이 아니라,
위아래 턱뼈의 관계를 정상화하고 바르게 씹고 발음할 수 있도록 도와줍니다.
그 결과, 기능을 회복하고 아름다운 얼굴 모양을 완성할 수 있습니다.
결국, 교정 치료란 치아 기능을 회복해 균형 잡힌 아름다움을 만드는 일입니다.
고른 치열 그 너머,
자신감 있는 미소의 설계
친절하고 전문적인 설명
목포미르치과병원은 ‘설명 중심 진료’를 지향합니다.꼼꼼하고 체계적인 후 관리
교정 치료가 끝난 후에도 치아 배열과 잇몸 건강을 안정적으로 유지할 수 있도록부담은 낮추고 만족은 높인 교정 치료
치료의 질은 높이고, 비용 부담은 줄였습니다.분야별 전문의가 함께하는 통합 진료 시스템
교정과 원장 2인의 의료진과 보철, 충치 치료 등 진료 분야 간의 함께하는1:1 환자 맞춤 교정 상담 시스템
교정 치료 전, 모든 절차와 사용되는 재료, 치료 방식까지
교정 치료 과정에서 사랑니 발치, 충치 및 신경 치료, 턱관절 질환 치료까지 한 병원에서 빠르고 정확하게 진료받을 수 있습니다.
분야별 전문의들이 유기적으로 협진하여 환자 맞춤 치료를 제공합니다.
교정 중 사랑니 발치
교정 치료 중 사랑니가 치아 배열에 영향을 줄 경우, 치료의 효율을 높이기 위해 발치가 필요할 수 있습니다.
교정 중 충치 치료 / 신경 치료
교정 치료 중 충치나 신경 문제가 발견되면, 치료의 안정성과 구강 건강 유지를 위해 먼저 해당 치료를 진행하게 됩니다.
교정 전 턱관절 치료 등 사례
교정 전 턱관절에 통증이나 소리가 있다면, 치료의 안정성과 효과를 위해 먼저 턱관절 질환을 관리하는 것이 중요합니다.